En regard de l’offre pléthorique des acides hyaluronique (AH), la proposition globale de produits de comblement à longue durée d’action reste aujourd’hui marginale en dehors du leader à base d’hydroxy apatite dont les qualités sont reconnues de tous, et de celui à base d’acide polylactique dans le HIV surtout. Le gel injectable à base de PEG , semble pouvoir devenir un acteur majeur du marché des « fillers » déjà par la sécurité d’emploi qu’il laisse entrevoir. De plus, l’originalité de sa formulation en fait d’ores et déjà un produit unique dans son espace concurrentiel, à la fois par sa composition (PEG) et par son côté « auto-linked » sans adjuvant. Comme tout produit à longue durée d’action c’est le temps qui guidera nos choix, dans le cadre d’une utilisation raisonnée.
Formulation
Ce gel est le 1er produit de comblement à base de PEG (Polyéthylène Glycol), dont la formule permet d’obtenir un gel durable, dégradable indiqué pour la correction des déficits des tissus mous et l’augmentation des lèvres. Ce gel est composé de 4% de Polyéthylène Glycol et de 96% d’eau.
Le Polyéthylène Glycol est un matériau connu en biologie et en médecine : c’est un polysaccharide, comme l’AH. En biologie, il est utilisé dans la culture de cellules. En médecine et dans les préparations médicales, il sert de base pour de nombreux laxatifs.
Cet injectable est :
- auto-linked, c’est-à-dire qu’il se réticule pour l’essentiel à lui-même, sans adjuvant.
- un gel homogène et synthétique n’induisant pas de réaction immunologique.
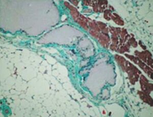
- totalement dégradable au bout de 2-3 ans tel que démontré par de nombreux tests (in vitro et in vivo) et par les études cliniques.
Dégradation
La dégradation d’un polymère dépend de sa structure et de sa nature. Ce gel est caractérisé par des diols, tout comme les polysaccharides naturels, ce qui veut dire qu’il est soumis au même processus biochimique que les polysaccharides naturels, comme l’acide hyaluronique.
De même, les radicaux de ce gel injectable :
- Groupes carboxyliques (COOH)
- Groupes carbonyliques (C=O)
- Groupes amides (NH)
Sont tous totalement solubles et dégradables.
...La suite de ce contenu est réservée aux membres de l'AFME.
Pour voir l'article en entier, connectez-vous >
-
Note du comité de lecture




